Living with missing teeth or uncomfortable dentures can significantly impact your quality of life. Are you experiencing any of the following in the Boronia Heights area?

You are not alone. Many people in Boronia Heights and surrounding Queensland communities face these challenges. But there is a revolutionary solution.
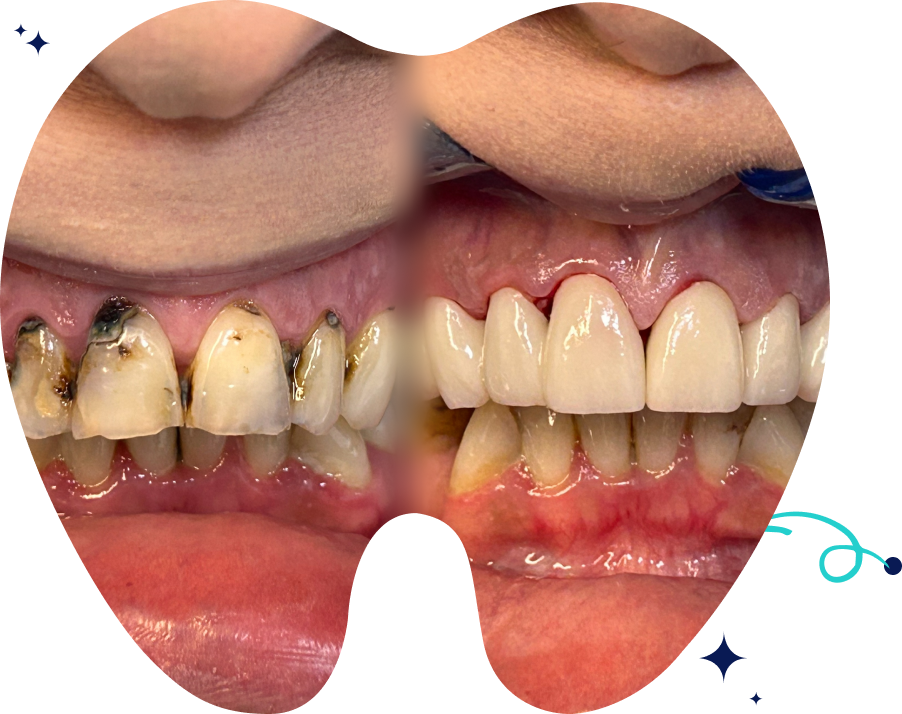
Imagine eating, speaking, and smiling with complete confidence again. The All-On-4® treatment concept offers a groundbreaking approach to full-arch tooth replacement, providing a permanent set of fixed teeth using just four strategically placed dental implants.
It’s a clinically proven technique that provides a full arch of beautiful, functional teeth fixed onto four titanium implants in your upper or lower jaw (or both). These implants act like artificial tooth roots, providing a secure foundation for your new smile, often completed within just a few days.

Our experienced team at Boronia Heights Family Dental guides you through every step:
Our dentists have extensive experience in dental implants and restorative dentistry.
We prioritise your comfort with sedation options and a caring approach.
Utilising state-of-the-art imaging and planning tools for precise results.
We provide clear, upfront cost information during your consultation.
We make achieving your dream smile accessible with interest-free plans through Afterpay and humm.
We can guide you on potentially accessing your superannuation for dental treatment through SuperCare.
Our goal is not just to replace teeth, but to restore your confidence and overall wellbeing.

#
#
#
#
#
#
#